Dental Care Best Practices: क्या आप भी ब्रश करने के बाद कर रहे हैं यह बड़ी भूल, मशहूर डेंटिस्ट ने दी ये चेतावनी…
Dental Care Best Practices: दांतों का स्वस्थ होना केवल एक सुंदर मुस्कान के लिए ही जरूरी नहीं है, बल्कि यह हमारे समग्र शरीर की सेहत का आईना भी होता है। अक्सर हम शरीर की फिटनेस पर तो ध्यान देते हैं, लेकिन ओरल हेल्थ को नजरअंदाज कर देते हैं। दांतों में सड़न, मसूड़ों से खून आना या मुंह की दुर्गंध जैसी समस्याएं (bad breath causes) को दर्शाती हैं, जो आगे चलकर आपके पाचन तंत्र को भी प्रभावित कर सकती हैं। एक अच्छी ओरल हाइजीन न केवल आत्मविश्वास बढ़ाती है, बल्कि कई गंभीर बीमारियों को शरीर में प्रवेश करने से भी रोकती है।

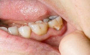
क्यों बन जाते हैं दांतों में जिद्दी बैक्टीरिया
जब भी हम कुछ खाते हैं, तो भोजन के बेहद महीन कण दांतों के कोनों और उनके बीच की बारीक जगहों पर फंस जाते हैं। यदि इन कणों को समय रहते साफ नहीं किया गया, तो ये वहां सड़न पैदा करने लगते हैं और धीरे-धीरे बैक्टीरिया का घर बन जाते हैं। ये (tooth decay process) इतनी धीमी होती है कि शुरुआत में हमें पता भी नहीं चलता, लेकिन बाद में यही बैक्टीरिया दांतों की ऊपरी परत को खाने लगते हैं, जिससे कालापन और असहनीय दर्द शुरू हो जाता है। इसीलिए डॉक्टर दिन में दो बार ब्रश करने की सख्त हिदायत देते हैं।
डेंटिस्ट मार्क बेंटले का सनसनीखेज खुलासा
मशहूर डेंटिस्ट मार्क बेंटले का मानना है कि ज्यादातर लोग ब्रश तो नियमित रूप से करते हैं, लेकिन उसके बाद एक ऐसी गलती करते हैं जिससे दांतों में कीड़ा लगने का खतरा बना रहता है। वह गलती है ‘फ्लॉसिंग’ को नजरअंदाज करना। लोग सोचते हैं कि सिर्फ (toothbrush bristles reach) ही काफी है, लेकिन सच्चाई यह है कि ब्रश के रेशे दांतों के बीच की संकरी जगहों तक नहीं पहुंच पाते। यही वह जगह है जहां सबसे ज्यादा गंदगी जमा होती है और कैविटी की शुरुआत होती है।
फ्लॉसिंग: ओरल केयर का वह गुमनाम नायक
ज्यादातर लोग अपने डेली रूटीन में ब्रश और टंग क्लीनिंग को तो शामिल करते हैं, लेकिन फ्लॉसिंग करना भूल जाते हैं या इसे बहुत कठिन समझते हैं। फ्लॉसिंग करने से उन जगहों से भी सड़न और भोजन के कण निकल जाते हैं जहां ब्रश की पहुंच संभव नहीं है। यदि आप (daily flossing benefits) को समझ लें, तो आप न केवल अपने दांतों को कैविटी से बचा सकते हैं, बल्कि दांतों के पीलेपन और मसूड़ों की सूजन से भी हमेशा के लिए छुटकारा पा सकते हैं।
क्या है फ्लॉस करने का बिल्कुल सही तरीका
फ्लॉसिंग का नाम सुनते ही कई लोग मसूड़ों से खून आने के डर से घबरा जाते हैं, लेकिन ऐसा तभी होता है जब तरीका गलत हो। सही तरीका यह है कि फ्लॉस के धागे को दांतों के बीच ले जाएं और बहुत ही कोमलता के साथ उसे ‘C’ आकार में घुमाएं। इसे (proper flossing technique) के साथ करने से मसूड़ों पर चोट नहीं लगती और दांतों के बीच फंसा भोजन आसानी से बाहर आ जाता है। यह प्रक्रिया हर दांत के आगे-पीछे दोहरानी चाहिए ताकि कहीं भी गंदगी का नामोनिशान न रहे।
मसूड़ों की सेहत और पाचन का अटूट रिश्ता
स्वस्थ मसूड़े मजबूत दांतों की नींव होते हैं। जब हम फ्लॉसिंग और ब्रशिंग का सही संतुलन बिठाते हैं, तो हमारे मसूड़े गुलाबी और मजबूत बने रहते हैं। अच्छी ओरल हेल्थ (digestive system health) में भी महत्वपूर्ण भूमिका निभाती है, क्योंकि भोजन का पाचन हमारे मुंह से ही शुरू होता है। यदि दांत साफ नहीं होंगे, तो भोजन के साथ बैक्टीरिया भी पेट में जाएंगे, जो कई तरह की बीमारियों का कारण बन सकते हैं। इसलिए दांतों की सफाई को केवल कॉस्मेटिक नजरिए से नहीं देखना चाहिए।
दांतों की सुरक्षा के लिए स्वर्ण नियम
दांतों को लंबे समय तक सुरक्षित रखने के लिए एक व्यवस्थित रूटीन का पालन करना बहुत जरूरी है। सबसे पहले एक सॉफ्ट ब्रश का चुनाव करें और हल्के हाथों से दांतों के हर हिस्से की सफाई करें। ब्रश करने और कुल्ला करने के बाद (interdental cleaning tools) या फ्लॉस का उपयोग करें, जिसमें कम से कम 1 मिनट का समय दें। इसके बाद जीभ की सफाई करें और अंत में एक अच्छे माउथवॉश का उपयोग करें। यह क्रम आपके मुंह को घंटों तक तरोताजा और कीटाणुमुक्त रखेगा।
डेंटल चेकअप: बचाव इलाज से बेहतर है
सब कुछ सही करने के बावजूद, कभी-कभी दांतों के बीच ऐसी सड़न पैदा हो जाती है जो हमें सामान्य आंखों से दिखाई नहीं देती। इसीलिए विशेषज्ञों का सुझाव है कि हर 6 महीने में कम से कम एक बार प्रोफेशनल (routine dental checkup) जरूर कराना चाहिए। डेंटिस्ट आधुनिक उपकरणों के जरिए आपकी ओरल हेल्थ की गहराई से जांच कर सकते हैं और किसी भी समस्या को गंभीर होने से पहले ही रोक सकते हैं। अपने दांतों की देखभाल में निवेश करना असल में आपके भविष्य के स्वास्थ्य में निवेश करना है।



